10:00 AM - 12:00 AM, Friday: 5:00 PM - 12:00 AM
General

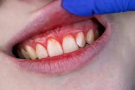
Endodontics

Treatment of Decayed Teeth/Pain

Duration
90 minutes
Endodontics

About This Service

We provide effective solutions for decayed teeth and dental pain, including root canal treatments, dental fillings, crowns, and advanced surgical endodontics. Our goal is to alleviate discomfort, restore your oral health, and preserve your natural teeth with precision and care.

Book This Service

90 minutes procedure
Expert care by Dr. Md. Ismail Hossain
Free consultation included
Book Appointment

Need help deciding?

Call Us

Why Choose Smile Dental-Aesthetic Orthodontic and Implant Centre?

15+ years of experience
Modern equipment & technology
Flexible payment plans
Same-day appointments available

Related Services

You might also be interested in these services

Pedodontics

Pedodontics

General Dental Treatment for Kids

View Details
Periodontics

Periodontics

Treatment of Gums

View Details
Chat with us on WhatsApp